小児矯正の料金について
※表示価格は全て税込です
プレオルソ

88,000円
・初回検査費用、調整料が含まれています
インビザラインファースト

580,000円
・初回検査費用、調整料が含まれています
プレオルソからインビザラインファーストへの移行
プレオルソで治療中の方がインビザラインファーストへ移行する場合
550,000円(プレオルソからの移行優待価格)
デンタルローンについて
月々無理なくお支払いいただけるデンタルローンをご用意しています。
最大120回まで の分割プラン。金利手数料は実質年率6.8%です。

インビザラインファーストなら!
金利6.8%
月々 6,600円
(120回払い 初回のみ15,580円)
一括 580,000円
費用やお支払についてご不明な点がございましたらお気軽にご相談ください。
松村歯科医院の小児矯正について

松村歯科医院では、お子さまの年齢や歯の生え変わりの状態に合わせて、「プレオルソ」と「インビザラインファースト」の2種類のマウスピース矯正をご用意しています。
どちらも痛みが少ないのでお子様に受け入れてもらえやすいです。
プレオルソは起きている数時間と寝ているときだけで、あごとお口の周りの筋肉を鍛えて正しい成長へと促します。
インビザラインファーストは見た目も自然で続けやすいのが特徴です。できるだけ1期治療(小学生の内の治療)で終えられるように、お子さま一人ひとりに合わせたプランをご提案しています。
成長のペースや歯の状態をしっかり見ながら、お子さまに合った方法を一緒に考えていきます。
プレオルソ(早期矯正・5歳頃から始められるマウスピース)

「プレオルソ」は、柔らかいシリコン製のマウスピースを使った矯正法で、あごや歯に優しく、5歳頃から始められる“ファーストステップ矯正”として人気です。正しく使えば、プレオルソだけで十分に歯並びが整うケースもあり、早い段階で始めることで、将来の大掛かりな矯正を避けられる可能性があります。
プレオルソの特徴
| 対象年齢 | おおよそ5〜10歳(乳歯列〜混合歯列期) |
|---|---|
| 装着時間 | ・日中は 1時間ほど ・就寝時に 装着して寝るだけ(合計10〜12時間程度) |
| 素材 | やわらかい医療用シリコン製で、違和感が少ない |
| 目的 | ・口呼吸を鼻呼吸へと改善 ・舌の位置・お口の筋肉を整える(MFT効果) ・歯がきれいに生えるための“土台づくり” |
| 通院 ペース | 1〜2か月に1回のチェック |
こんな方に
- 「まだ本格的な矯正は早いけど、歯並びが気になる」
- 「口が開きっぱなし」「いびきがある」「発音が気になる」
- 「できるだけ費用を抑えて始めたい」
反対咬合のビフォーアフター

【治療前】

【治療2ヶ月後】
| 治療内容 | プレオルソ |
| 費用 | 88,000円 |
| 期間 | 6ヶ月 |
| 副作用 リスク | 特になし。装着できないと効果が見込めない。これだけでは歯並びの完全な改善にはならないのでインビザラインファーストが必要になる。 |
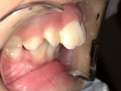
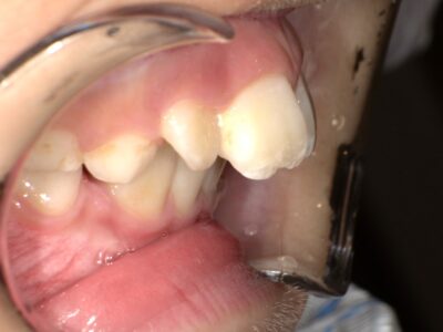
出っ歯治療のビフォーアフター

【治療前】

【治療6ヶ月後】
| 治療内容 | プレオルソ |
| 費用 | 88,000円 |
| 期間 | 6ヶ月 |
| 副作用 リスク | 特になし。装着できないと効果が見込めない。これだけでは歯並びの完全な改善にはならないのでインビザラインファーストが必要になる。 |
インビザラインファースト(6歳〜10歳頃の永久歯混在期)
「インビザラインファースト」は、世界的に利用されている透明マウスピース矯正「インビザライン」シリーズの子ども向けモデルです。
あごの成長をサポートしながら、歯を少しずつ理想の位置に動かしていきます。
取り外しができる分、装着時間を守ることが大切です。しっかり使えば、短期間で歯並びや咬み合わせの改善が実感できます。
インビザラインファーストの特徴
| 対象年齢 | 6〜10歳(乳歯と永久歯が混ざる時期) |
|---|---|
| 装着時間 | 1日 20〜22時間の装着が推奨 (食事・歯磨き時のみ取り外しOK) |
| 素材 | 透明で薄いプラスチック素材(ほとんど目立たない) |
| 交換 サイクル | 1〜2週間ごとに新しいマウスピースへ交換 |
| 通院 ペース | 2〜3か月に1回のチェックでOK |
メリット
- 透明で目立たないので学校でも気づかれにくく、写真写りも自然
- 取り外しができて衛生的なので食事や歯磨きの邪魔をしません
- あごの発育をサポートし成長に合わせて歯列を広げる効果あり
- ワイヤー不使用、金属アレルギーの心配がない





